What Is A Boxer’s Fracture? Understanding This Common Hand Injury

Welcome back for another short discussion on a very common hand fracture I see in practice.

Today’s topic is an injury commonly known as a boxer's fracture. If I had named this injury, I would have used ‘frustrated young person fracture’. Doesn’t quite roll off the tongue though.

Let's discuss the details.

What is a boxer's fracture?

In its simplest terms, a boxer's fracture is a broken bone in the hand. Specifically, it is the hand bone at the base of the pinky finger very near the knuckle.

As you might guess from the name, it almost always occurs from hitting an object. The force of the strike breaks the bone.

What are the symptoms of a boxer's fracture?

As with any broken bone, the symptoms of a boxer's fracture include pain and swelling at the location of the injury. This can often lead to stiffness or loss of motion as well.

How is a boxer's fracture diagnosed?

The diagnosis of a boxer's fracture is pretty straightforward. The story a patient might tell me is nearly always the same - “I punched X.”

Every so often I will hear of a patient falling directly on the hand, almost as if they had punched the ground.

On examination, the hand is typically very swollen and tender over the fracture site. Occasionally, I will see some serious angulation or rotation of the finger through the broken bone that has moved out of place. But this does not occur in the majority of cases.

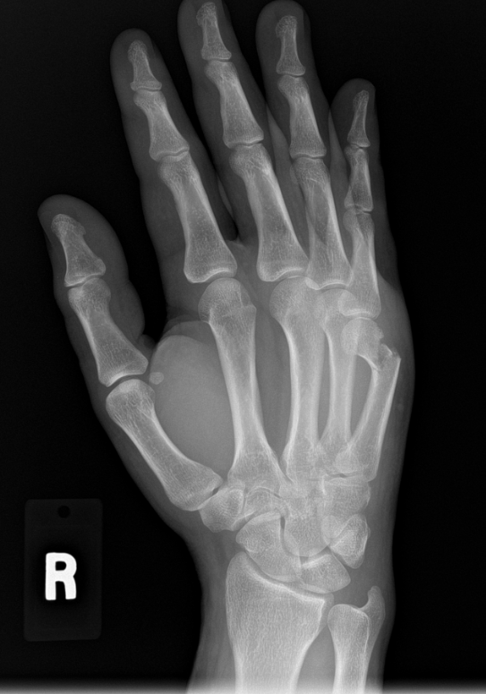
What is very common, however, is a visual loss of the knuckle and a large bump about a centimeter closer to the wrist from where the knuckle once was. This occurs when the broken bone has angled down towards the palm (see Figure 1). An x-ray will easily confirm the diagnosis, thus showing us a fracture (remember, there is no difference between the term ‘fracture’ or ‘broken bone’) through the fifth metacarpal neck.

Figure 1 - Notice the broken 5th metacarpal on the right side of the image. The ‘head’ of the bone is severely angled toward the palm. This is a ‘boxer’s fracture.’

How is a boxer's fracture treated?

The majority of boxer’s fractures can be treated without surgery.

Let's do a quick experiment. Hold one hand with you palm facing the floor. With your other hand, grab the knuckle (“MCP joint”) of your small finger. If you completely relax, you will notice that it is easy to move your small finger knuckle up toward the ceiling and then down toward the floor. The small finger side of the hand is extremely mobile.

Repeat the above with your index finger knuckle and it won’t budge.

What I am demonstrating to you is that the small finger side of your hand can actually tolerate a fair bit of deformity. That means this fracture can heal quite crooked and you can still have a normally functioning hand.

Below are the typical criteria we use for surgery:

  1. Is the fracture angled towards the palm more than 50 to 60 degrees?

  2. Is there an extensor lag (see below)?

  3. Is there sideways angulation or rotation of the finger?

The first of the above points is fracture angulation towards the palm. This is a measurement we take on x-ray (see Figure 2). From various studies over the years, we know that if the angulation of the fracture is less than 50 to 60 degrees, the hand can accommodate that degree of deformity.

Figure 2 - Here’s the same x-ray with an angle included. This bone is angled 64 degrees (180 degrees - 116 degrees = 64 degrees). This would be the upper limit of acceptable angulation and may be one to benefit from surgery.

The only caveat here is that there will be a permanent loss of the knuckle and a new bump about a centimeter closer to the wrist from where the knuckle once was. This is a small deformity that should not have any effect on the hand. It will essentially look like your knuckle moved.

The second point above regarding an ‘extensor lag’ refers to the ability to straighten your small finger. If the bone is so deformed, that you cannot fully straighten your finger (see Figure 3), you may want to consider surgery. This will restore the bony architecture so that your tendons can fully straighten your fingers when they pull.

Figure 3 - If your fracture is extremely displaced, you may develop an ‘extensor lag’ as shown above. In this case, you cannot fully straighten the small finger.

The third point is a little more obvious. Most patients would prefer to have surgery for a finger that would heal crooked or rotated. That just makes plain sense.

What is the surgery for a boxer's fracture?

There are two surgical options to fix a boxer's fracture.

The most common is what we would term “closed reduction percutaneous pinning” or CRPP. Without the medical jargon, this means stabilizing your fracture with pins.

In this surgery, I use gentle force to straighten out the bone and then I poke sharp pins through the skin. These pins are then drilled across the fracture through the bone. These pins typically stick out of the skin and stay in place for four to six weeks. They are then removed in clinic — they do not need repeat surgery to be removed.

Depending on your fracture pattern, if the bone breaks closer to the middle of the bone rather than at the end near the knuckle, an additional surgical option is to place a small screw down the center of the bone.

To understand this, it is helpful to understand that the structure of a bone is similar to a PVC pipe. It is very rigid around the edge and relatively hollow down the center. In this surgery, a small incision is made over the knuckle. The fracture is then bent back into a straight position and a screw is placed down the hollow portion of the bone — from the knuckle all the way down towards where the hand meets the wrist.

This screw sits inside the bone and stabilizes it while it heals straight. It typically stays forever, rather than planning for later removal. This type of surgery is called ‘intramedullary fixation.’

What is my healing time?

Regardless of whether you are treated with or without surgery, all fractures will take approximately 6 weeks to heal.

The good news is, whether you’re treated with a cast, pins, or intramedullary fixation, a boxer’s fracture typically does not require full-time immobilization for that entire 6 weeks. As your bone starts to heal a little bit, there's generally enough stability to start some early range of motion with the guidance of our hand therapists.

The details will differ depending on your particular fracture and it will be important to follow the directions provided.

Wrapping it up

So that about does it for a boxer's fracture.

As you now understand, a boxer's fracture is a very specific pattern of hand fracture involving the bone named the fifth metacarpal. Some of the above principles apply to many fractures in the hand, but not all.

Hopefully, this gives you a useful understanding of the condition, especially if you are dealing with a boxer's fracture yourself. As always, I encourage you to take back control of your health, and understanding your condition is the first step!

Previous
Previous

What’s This Bump At The End Of My Finger? 5 Tips To Understanding Mucous Cysts

Next
Next

What Is Cubital Tunnel Syndrome? The Ultimate Patient Guide